Skip to main content

Undersökning vid tandlossning

tandhygbehandling

Tandlossningssjukdom, parodontit, kan upptäckas och behandlas på ett tidigt stadium. Därför är det viktigt att regelbundet besöka tandläkaren.

Vid rutinundersökning hos tandläkaren kontrolleras en rad olika saker. Bland annat risken för tandlossning. Denna diagnos bygger på en detaljerad undersökning av tänder och tandkött. Patientens sjukdomshistoria samt information om eventuell medicinering är också viktigt. Baserat på undersökningen kan tandläkaren sedan gradera sjukdomens svårighetsgrad.

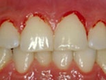
Inflammationsregistrering

Undersokning-tdl9

Inflammerat tandkött kan vara början till parodontit.

Ett inflammerat tandkött kan vara början till parodontit. Typiska tecken på ett inflammerat tandkött är att det blöder längst tandköttskanten vid beröring och att det är mjukt, blankt och mörkrött istället för fast, knottrigt och ljusrosa. Under tandläkarundersökningen registreras förekomsten av inflammation för varje tand.

Plackregistrering

Tandläkaren registrerar även plack. Plack syns inte med blotta ögat och förekommer framför allt i områden som är svåra att komma åt. Ibland används därför en färglösning som färgar placket så att det syns tydligare. Om du har, eller misstänks få, parodontit ställs högre krav på munhygienen. Att ta bort plack är den viktigaste åtgärden för att förhindra spridning och detta kan du själv utföra. Plackregistreringen ger en bra bild över de utsatta områdena och om behandlingen regelbundet upprepas kan du själv se hur munhygienen förbättras.

Registrering av tandköttsfickor

Fickdjupet mäts i syfte att bedöma vilket stadium sjukdomen befinner sig i. Denna del av undersökningen ger också en antydan om hur mycket fäste som eventuellt gått förlorat.

Med en smal graderad sond mäts fickdjupet. Sonden förs försiktigt ner till fickans botten. Normalt är fickdjupet mellan en och fyra millimeter, men varierar från tand till tand och mellan olika ställen kring tanden. Fickdjupet antecknas och kan sedan jämföras med senare värden under och efter behandlingen.

Registrering av rörlighet

En tand sitter inte helt fast i käkbenet. Tandens fäste till benet består av små trådar som tanden hänger i. Denna upphängning gör tänderna stötdämpande och naturligt lite rörliga.

Om du vickar på en frisk framtand känner du dess normala rörlighet, grad 0. Den högsta rörligheten, grad III, innebär att tanden vickar flera millimeter åt alla håll, även uppåt och neråt. En sådan tand går vanligtvis inte att rädda. Tändernas inbördes relation är också viktig. Ökad rörlighet kan ibland bero på att vissa tänder biter mot varandra i fel riktning och för hårt.

Röntgen

tdl7

Tandsten upptäcks ibland med röntgen.

Med röntgen kan tandläkaren bland annat bedöma hur mycket ben som finns kvar, hur tändernas rötter ser ut och om det finns infektioner och sjukdomar i munnen som kan påverka prognosen negativt. Ibland kan man också se hur mycket tandsten som finns. För att kunna undersöka och behandla parodontit bör det finnas röntgenbilder på alla tänder. Bilderna sparas alltid i minst tio år och fungerar som hjälp när tandläkaren i framtiden vill undersöka hur sjukdomen utvecklats.

Källa: Praktikertjänst Tandvård | Foto: Mariana Karlsson