Skip to main content

Bettfel

ont-i-kaken

Ibland kan ett bettfel orsaka stort lidande, men många människor är faktiskt inte ens medvetna om sina bettfel.

Här neden följer exempel på de vanligaste bettfelen och hur de kan se ut före och efter att de har behandlats.

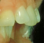
Dentala anomalier

tänder som sitter snett Dentala_anomalier_efter
Före behandling Efter behandling

Med dental anomali menas att enskilda tänder är tippade eller roterade. Tänder som inte kommit fram, trots att anlaget finns, är också vanligt förekommande.

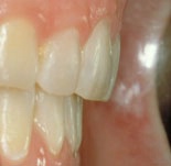
Utrymmesanomalier

Utrymmesanomalier_fore Utrymmesanomalier_efter
Utrymmesanomlier före behandling Utrymmesanomalier efter behandling
Före behandling av utrymmesanomali (trångställning) Efter behandling av utrymmesanomali (trångställning)

glesställning före behandling glesställning efter behandling
glesstallning_2_fore trångställning efter behandling
Före behandling av utrymmesanomali (glesställning) Efter behandling av utrymmesanomali (glesställning)

trångställning och överbett före behandling trångställning och överbett efter behandling
trångställning ocu överbett före behandling trångställning ocu överbett före behandling
Före behandling av utrymmesanomali (trångställning och överbett) Efter behandling av utrymmesanomali (trångställning och överbett)

Utrymmesproblem beror på att det antingen saknas tänder, eller att det finns för många, alternativt att käkarna är för små eller för stora. Tänder kan vara trångställda, beroende på att det är ont om plats i käkbenet. Det omvända problemet finns också, det vill säga att tänderna är glesställda så ett mellanrum bildas.

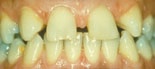
Malocklusioner

Överbett Underbett
Överbett Underbett

Malockusion innebär en avvikelse i relationen mellan käkar och tänder. Exempel på detta är underbett och överbett.

Överbett

överbett före behandling överbett efter behandling
överbett före behandling överbett efter behandling
Före behandling av överbett Efter behandling av överbett

Underbett

underbett före behandling underbett efter behandling
Underbett före behandling Underbett efter behandling

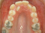
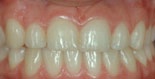
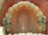
Trångställt bett

trångställt bett före behandling trångställt bett efter behandling
Före behandling av trångstätt bett Efter behandling av trångställt bett

Ett trångställt bett med för smal käke, i vy mot gommen. Således en kombination av en malocklusion och en utrymmesanomali. Om man behandlar liknande anomalier i rätt tid under ungdomsåren kan man till och med, som här, bredda käken med hjälp av tandreglering. Barnets egen växt hjälper till.

Källa: Praktikertjänst Tandvård | Foto: Stockxpert