Skip to main content

Tandpressning

tandvark

Normalt slits tänderna ner långsamt. För en del människor går det dock lite snabbare. Orsaken kan vara tandpressning, eller tandgnissling, som vanligtvis sker nattetid och oftast helt omedvetet.

Ansiktet, munnen och tuggsystemet är en komplicerad apparat. Många faktorer påverkar balansen. Det finns teorier om varför vissa människor pressar tänder, men några säkra svar finns inte. Tandpressning kan leda till att tandhalsarna blottläggs, att tänderna slits ner och lagningar går sönder. Benet runt tänderna kan till och med lösas upp.

Utlösande faktorer

Utlösande faktorer för tandpressning kan vara att bettet inte passar ihop, att det saknas tänder, eller att de står i ett sådant läge att jämvikten störs. Det kan också handla om att käklederna har skador, eller att det centrala nervsystemet som samordnar tuggsystemet kan vara påverkat, till exempel genom sjukdom eller stress. Orsaken är sällan bara en.

Symptom

Vissa är helt omedvetna om sin överbelastning, medan andra har symptom. Det kan röra sig om värk i rygg, axlar, huvud, öron och muskler, eller ömhet i tänder och käkleder. Ibland kan det också innebära svårigheter att gapa eller stänga munnen, käkledsljud och låsningar.

Behandling

Tandläkaren kan ofta tidigt se problemen och erbjuda hjälp. Den vanligaste metoden för att skydda och ibland också bota en patient från tandpressning är bettskena. Bettskenan stabiliserar käken och avlastar käklederna. Den kan också användas för att förbättra funktionen i tuggsystemet och bidra till att spända käkmuskler lättare slappnar av. Dessutom skyddar den från det slitage och den belastning på tänderna som gnisslingen orsakar. Skenan används vanligtvis på natten.

bettskena1

Bettskena i vy från sidan.

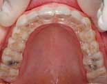
bettskena2

Bettskena i vy mot gommen.

Stress och tandpressning hänger ofta ihop

En finsk undersökning har visat att människor som regelbundet gnisslar och pressar tänder känner sig mer stressade på arbetet. Enligt undersökningen är det i större utsträckning kvinnor som pressar och gnisslar tänderna samt känner sig stressade.

De som sade sig ha de högsta nivåerna av stress var även de som rapporterade att de i större grad gnisslar och/eller pressar tänder. 26 procent av kvinnorna uppgav att de åtminstone gnisslar/pressar tänder någon gång. 17 procent av männen gav samma svar. Nästan 4 procent av kvinnorna och 1 procent av männen uppgav att de gnisslar och/eller pressar tänder ofta.

Källa: Praktikertjänst Tandvård | Foto: Stockxpert