Skip to main content

Ond cirkel

Ond_cirkel-tdl14 Ond_cirkel-78

Ett lättblödande tandkött kan vara ett tidigt tecken på ökad risk för att utveckla en allvarlig parodontit. Bennedbytningen som skett mellan bilderna ovan tar vanligtvis många årtionden.

Med rätt omhändertagande är prognosen god, men det förutsätter att man börjar i god tid. Skulle behandlingen ha påbörjats först vid den högra bilden är prognosen mycket dålig.

Ond_cirkel-tandtrad

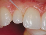
Bilden visar ett friskt tandkött. Tandtråden kan föras ner längs tandkronan utan blödning eller smärta.

Ond_cirkel-tdl6

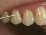
Bilden visar ett inflammerat tandkött. Det ömmar och blöder när tandtråden kommer åt tandköttet.

Ond_cirkel-tdl7

En 30-årig patient som visar tidiga tecken på parodontit.

Ond_cirkel-tdl8

Röntgenbilden ovan är samma patient, 18 år senare. Tändernas fäste har nästan helt gått förlorade. Sjukdomen hade med stor sannolikhet kunnat hejdas med rätt behandling i tid.

Källa: Praktikertjänst Tandvård | Foto: Mats Larson