Skip to main content

Därför missfärgas dina tänder

tandfarg

Tandfärg varierar från människa till människa. Tänderna mörknar också med åren.

Emaljen är normalt det vitaste på tanden. Under den finns dentinet, som är mer färgstarkt. Eftersom emaljen är genomskinlig är det främst dentinets färg som reflekteras och bidrar till tandens färg. Är dentinet kraftigt gult upplevs alltså tanden som gul.

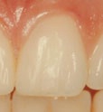
tandensuppbyggnadYtlig missfärgning

Tandfärgen påverkas av mat och dryck. Du har säkert hört att rödvin, kaffe och tobak kan orsaka missfärgningar. Om det rör sig om ytliga missfärgningar kan tandläkaren eller tandhygienisten ta bort dem med en enkel putsning.

Djup missfärgning

Färgämnen från mat och dryck kan också ge djupare missfärgningar. Ibland kan färgförändringar även bero på att pulpan inuti tanden skadats eller dött. I båda fallen kan en blekning vara lösningen för att få tanden, eller tänderna, ljusa igen.

Färgen förändras med tiden

Trots att emaljen är hård och tät uppstår mikroskopiska sprickor där färgämnen kan tränga in. Med åren antar tänderna därför en mörkare färg. Ibland kan tandköttet dra sig tillbaka och blotta en del av rotytan som består av dentin. Tanden ser då gulare ut vid tandhalsen. Tyvärr är det ofta svårt att bleka denna del av tanden. Det kan dock finnas annan hjälp – tala med din tandläkare om detta.

Om tandens färg

När ljus faller in mot en tand passerar det genom emaljen, som är ganska genomskinlig.

omfarg1 omfarg2
Dentinets färg reflekteras och bidrar till den tandfärg som betraktaren ser. Om dentinet är gulare ser tanden därför gulare ut.

omfarg3 omfarg4
Om dentinet är ljusare kommer betraktaren däremot att uppfatta tanden som ljusare.

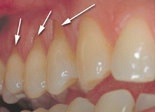
Gulare vid tandhalsen

omfarg5
Ibland drar sig tandköttet tillbaka och blottar rotytan som består av dentin. Därför ser tanden oftast gulare ut vid tandhalsen.

Kan man måla tänderna vita?

Om man målade på ett lager vit färg på en mörk tand skulle resultatet se mycket onaturligt ut, eftersom ljuset inte skulle reflekteras i tanden.

omfarg6 omfarg7
En målad tand blir förvisso vit, men djupet försvinner och ljuset blockeras i det yttersta vita lagret.

Lagningar måste efterlikna tanden

För att kunna ersätta en skadad tand och samtidigt göra det naturligt vackert måste lagningen efterlikna emaljen och dentinets skikt. Vissa material, som till exempel keramer, är bättre på att simulera verkligheten. Keramer är också mer färgbeständiga jämfört med kompositmaterial.

Det finns flera alternativ

Med hjälp av moderna blekmetoder kan tandläkaren ofta hjälpa många som har gula och missfärgade tänder. Beläggningar på tänderna avlägsnas säkrast hos tandläkare eller tandhygienist.

Källa: Praktikertjänst Tandvård | Foto: Stockxpert