Skip to main content

Skalfasader - ger ett vackrare leende

skalfasad

Missfärgningar, mellanrum, ojämnheter och fula fyllningar går att komma till rätta med. Idag kan tandvården erbjuda skalfasader.

En skalfasad är ett tunt skal, antingen gjort i keramiskt material eller i komposit. Det framställs individuellt för varje patient och tand. Passformen blir därför perfekt.
Skalfasaderna fungerar ungefär som lösnaglar i porslin. De döljer sprickor, fula fyllningar, stora mellanrum eller tänder som mörknat efter en skada. Och du behöver inte vara orolig för att tappa dem. När en fasad väl sitter fast fungerar den som en del av tanden.

Liknande uppbyggnad

Det är i huvudsak för framtänder som skalfasader görs. Det finns många olika orsaker till att en patient vill ha fasader. Till exempel som en ersättning för en avslagen bit av en tand, eller som en breddning för att fylla ut ett störande mellanrum. Skalet sitter hårt och lossnar normalt inte eftersom det limmas utanpå tanden. Och resultatet blir mycket naturligt, tack vare att fasaden liknar tandens egen uppbyggnad – nästan som ett nytt lager emalj!

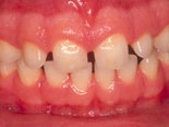
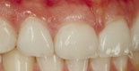
Skalfasader - före och efterbehandling

skalfasader innan behandling skalfasader efter behandling
Före och efter behandling med fyra keramiska skalfasader.

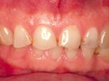
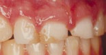
skalfasader innan behandling skalfasader innan behandling
Fyra keramiska skalfasader före och efter behandling - sett från sidan.

skalfasader innan behandling skalfasader innan behandling
Före och efter behandling med kompositfasader.

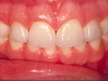
skalfasader innan behandling skalfasader innan behandling

gipsmodell utan skalfasader gipsmodell med skalfasader
Fyra skalfasader före och efter behandling. De två understa bilderna visar en gipsmodell av patienten, i vy från gommen och tuggytorna på framtänderna. Till höger kan du se de tunna keramiska fasaderna.

skalfasader innan behandling skalfasader innan behandling
Sex keramiska skalfasader, före och efter behandling. Samtliga tänder är blekta.

Källa: Praktikertjänst Tandvård | Foto: Stockxpert